Before and After

Incredible results and inspiring journeys; see some of our patients— before and after photos the next time you visit our practice.

after image

Problems: IMPACTED CANINE

This teen’s canine was impacted in the roof of his mouth. Dr. Brazeau sent him for surgery to uncover the tooth and place an attachment on it. She then moved the tooth down and out into place. The blue item in the before picture is a separator … it is preparing his teeth for braces.

after image

Problems: CROWDING, DEEP BITE

This patient presented with baby teeth still present. He had crowding and a crossbite. Dr Brazeau managed the eruption of his permanent teeth with a lower holding bar for 14 months. Then he needed braces for only 18 months.

after image

Problems: OPEN BITE

This adult patient had a severe open bite that prevented him from biting into food with his front teeth. Dr Brazeau closed the bite and improved the smile with Invisalign®.

after image

Problems: CROWDING, CROSSBITE

This adult patient had a moderate amount of crowding and an anterior crossbite. The lower left canine was being pushed out of bone. Dr. Brazeau corrected the bite in 20 months with Invisalign.

after image

Problems: SPACING

This teen patient had significant spaces between his teeth. Dr. Brazeau used Invisalign to close the spaces and align the teeth in 20 months.

after image

Problems: CROSSBITE, UNDERBITE, OPENBITE

This teen presented with a complicated case. Her lower teeth stuck out further than her upper teeth and her front teeth did not touch. Skeletally, her lower jaw was bigger than her upper jaw. Dr. Brazeau was able to treat her without surgery.

after image

Problems: OVERBITE, GUMMY SMILE

This adult patient did not like her overbite and gummy smile. Dr. Brazeau had two upper bicuspids removed. She then moved the upper incisors up and back, and created a beautiful smile in 26 months.

after image

Problems: DEFORMED UPPER INCISORS, UNDERBITE, SPACING, MIDLINE DISCREPANCY

This teen patient has a large lower jaw. Additionally, the upper lateral incisors are small and misshapen. His lower incisors bite in front of his upper incisors, causing damage to these teeth. Dr. Brazeau built the incisors to the correct size and shape and fixed the underbite in 24 months. We will monitor him until he stops growing to make sure the underbite does not return.

after image

Problems: CROSSBITE, MANDIBULAR SHIFT

This patient had a crossbite of the right canines. To get her teeth together she had to shift her jaw to the right. This gave her a facial asymmetry with her chin to the right of her face. Dr Brazeau corrected the crossbite and centered the chin with her face. Patient had braces for 16 months.

after image

Problems: SPACE, BEEP BITE

This patient had a large gap between his front teeth. Additionally, his bite was so deep he was biting into the roof of his mouth. In 26 months of braces Dr. Brazeau was able to correct the bite and align the teeth for a handsome smile.

after image

Problems: BUCK TEETH, DEEP BITE, MIDLINE DISCREPANCY, ROTATED BICUSPID

This teen patient presented with extremely protrusive front teeth. Additionally, one bicuspid was rotated sideways. Dr Brazeau brought the teeth into line and closed the gap. He had braces for 24 months.

after image

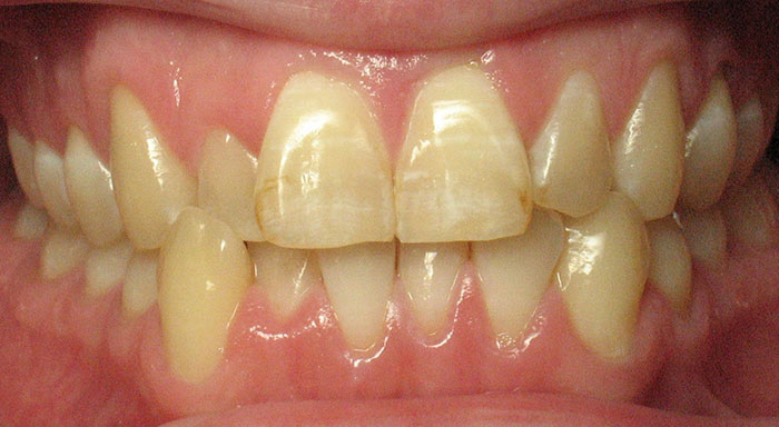
Problems: IMPACTED TEETH, DEEP BITE, CROWDING

This patient presented with severe crowding and “fangs.” Dr. Brazeau made space in the arch with springs and brought the canines into line. He had braces for 31 months waiting for eruption.

after image

Problems: CROWDING, CROSSBITE, GINGIVAL RECESSION

This adult patient has crowding and a crossbite. He wore braces for 22 months. Rubber bands were used to pull the lower teeth back over bone, and will help minimize future recession.

sesame communicationsWebsite Powered by Sesame 24-7™ / Site Map