Common Orthodontic Issues
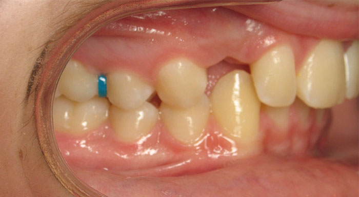
Impacted Canine
.jpg) Before
Before After
AfterThis teen’s canine was impacted in the roof of his mouth. Dr. Brazeau sent him for surgery to uncover the tooth and place an attachment on it. She then moved the tooth down and out into place. The blue item in the before picture is a separator. It is preparing his teeth for braces.
Crowding, Deep Bite
 Before
Before After
AfterThis patient presented with baby teeth still present. He had crowding and a crossbite. Dr Brazeau managed the eruption of his permanent teeth with a lower holding bar for 14 months. Then he needed braces for only 18 months.
Open Bite
 Before
Before After
AfterThis adult patient had a severe open bite that prevented him from biting into food with his front teeth. Dr Brazeau closed the bite and improved the smile with Invisalign®.
Crowding, Crossbite
 Before
Before After
AfterThis adult patient had a moderate amount of crowding and an anterior crossbite. The lower left canine was being pushed out of bone. Dr. Brazeau corrected the bite in 20 months with Invisalign®.
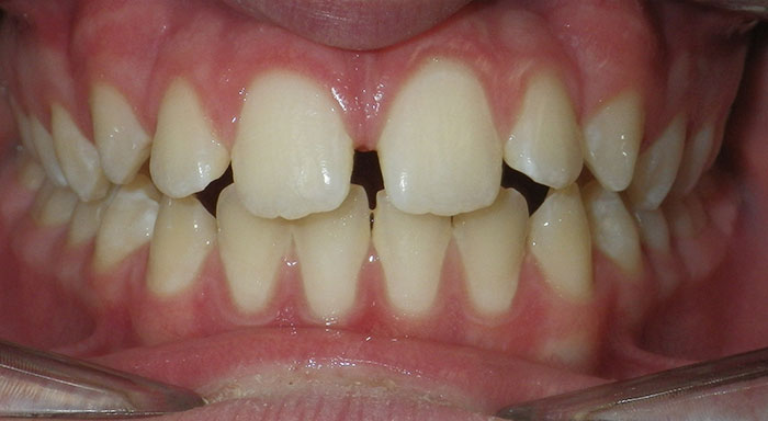
Spacing
 Before
Before After
AfterThis teen patient had significant spaces between his teeth. Dr. Brazeau used Invisalign to close the spaces and align the teeth in 20 months.
Crossbite, Underbite, Openbite
.jpg) Before
Before.jpg) After
AfterThis teen presented with a complicated case. Her lower teeth stuck out further than her upper teeth and her front teeth did not touch. Skeletally, her lower jaw was bigger than her upper jaw. Dr. Brazeau was able to treat her without surgery.
Overbite, Gummy Smile
.jpg) Before
Before.jpg) After
AfterThis adult patient did not like her overbite and gummy smile. Dr. Brazeau had two upper bicuspids removed. She then moved the upper incisors up and back, and created a beautiful smile in 26 months.
Deformed Upper Incisors, Underbite, Spacing, Midline Descrepancy
 Before
Before After
AfterThis teen patient has a large lower jaw. Additionally, the upper lateral incisors are small and misshapen. His lower incisors bite in front of his upper incisors, causing damage to these teeth. Dr. Brazeau built the incisors to the correct size and shape and fixed the underbite in 24 months. We will monitor him until he stops growing to make sure the underbite does not return.
Crossbite, Mandibular Shift
 Before
Before After
AfterThis patient had a crossbite of the right canines. To get her teeth together she had to shift her jaw to the right. This gave her a facial asymmetry with her chin to the right of her face. Dr Brazeau corrected the crossbite and centered the chin with her face. Patient had braces for 16 months.
Space, Deep Bite
 Before
Before After
AfterThis patient had a large gap between his front teeth. Additionally, his bite was so deep he was biting into the roof of his mouth. In 26 months of braces Dr. Brazeau was able to correct the bite and align the teeth for a handsome smile.
Buck Teeth, Deep Bite, Midline Discrepancy, Rotated Bicuspid
 Before
Before After
AfterThis teen patient presented with extremely protrusive front teeth. Additionally, one bicuspid was rotated sideways. Dr Brazeau brought the teeth into line and closed the gap. He had braces for 24 months.
Impacted Teeth, Deep Bite, Crowding
 Before
Before After
AfterThis patient presented with severe crowding and “fangs.” Dr. Brazeau made space in the arch with springs and brought the canines into line. He had braces for 31 months waiting for eruption.
Crowding, Crossbite, Gingival Recession
 Before
Before After
AfterThis adult patient has crowding and a crossbite. He wore braces for 22 months. Rubber bands were used to pull the lower teeth back over bone, and will help minimize future recession.
 
         Website Powered by Sesame 24-7™
Website Powered by Sesame 24-7™